Find out the latest news and events from within the department.
Displaying 41 to 50 of 92

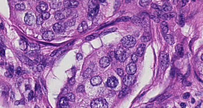
Medicinal plant could be the answer to better breast cancer treatment
02 Nov 2020Scientists discover a potential first for future cancer chemotherapy treatment

Research finds new dietary approach could manage a range of diseases with a particular fatty acid being the key to a longer life
01 Sept 2020Research findings suggest an exciting new role for decanoic acid from the ketogenic diet in the treatment of patients with wide-ranging diseases.

Younger generation fail to notice environmental decline
19 Aug 2020Young people are not as aware of environmental changes compared to the older generation, according to a new report by Royal Holloway

Bumblebee larval growth impaired by insecticide
06 Aug 2020Researchers from Royal Holloway, have found that an insecticide used in more than 81 countries, including within the EU, could contribute towards a global decline in bumblebees.

International award shared by two talented PhD students
06 Aug 2020Two talented PhD research students in the Department of Biological Sciences have been recognised as joint recipients of an international award for their research contributions.

100% in the National Student Survey 2020
24 Jul 2020We are delighted to see our highest ever NSS scores from students across our degree portfolio which are testament to the very high level of satisfaction with teaching and overall experience.

Microplastics impact in River Thames
21 Jul 2020Studies show microplastics are causing a negative impact to the health of the River Thames and its inhabitants

Now that is rocket science: scientists discover seeds could one day be grown on Mars
15 May 2020A new research paper by scientists from Royal Holloway has found that salad rocket seeds sent to outer space on the International Space Station (ISS), grow only slightly slower when returned to Earth,

How is the lockdown impacting our natural environment?
07 May 2020During this pandemic staff in the Department of Biological Sciences are tackling the challenge of understanding better the impact around COVID-19 and in particular the impact on nature.

Royal Holloway and FutureLearn launch online course for next generation of scientists
06 Mar 2020To coincide with British Science Week 2020, Royal Holloway launched a free, four-week online course; Understanding Biological Energy - on social learning platform, FutureLearn.